试题详情
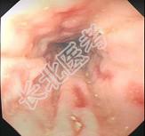
- 单项选择题女性,49岁, 近半月来出现上腹部隐痛、烧灼感、反酸、嗳气,弯腰或躺下时加重, 但食欲良好,体重无减轻, 胃镜如图,最可能的诊断是 ( )

A、慢性胃炎
B、胃癌
C、胃食管反流病
D、食管癌
E、胃溃疡
关注下方微信公众号,搜题查看答案

热门试题
- 男性,40岁。患十二指肠溃疡6年, 反复
- 患者,女性, 36岁。因1年来上腹部不适
- 胆总管损伤后放置T管的时间要求是(
- 肝性脑病的诱发因素包括( )。A、便
- 腹膜间皮瘤的病理类型有( )。A、弥
- 肝硬化并发肝肾综合征(HRS)的诊断标准
- 急性胰腺炎水肿型预后良好,但是出血坏死型
- 自身免疫性肝炎的临床特点是A、女性多见B
- 男性,59岁, 不规则反复上腹痛3年,食
- 假小叶的基本病变不包括 ( )A
- 胃肠胰神经内分泌肿瘤的通用标志物是(
- 引起腹腔积液最常见的病因为A、肿瘤B、肾
- 胃内压测定操作方法中的消化期指标有(
- 渗透性腹泻患者粪便渗透压主要由下列哪项构
- 脑-肠肽有60余种,目前研究较多的有(
- 有反流症状,但胃镜检查食管黏膜正常, 称
- 除以下哪项外,均考虑恶性溃疡( )A
- 胰腺癌最常用的根治手术是A、Whippl
- 下列哪项检查对急性胰腺炎诊断的价值最大
- 男性,38岁,平素身体健康,饮酒后4小时