试题详情
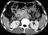
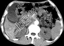
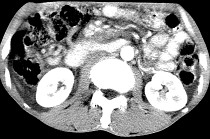
- 单项选择题女,50岁, 中上腹疼痛,消瘦乏力, 影像检查如下图,最佳的诊断是  (    )
       
- A、慢性胰腺炎 
- B、急性胰腺炎 
- C、胰腺癌并腹膜后淋巴结转移 
- D、胰岛素瘤 
- E、腹膜后淋巴瘤 
- 关注下方微信公众号,搜题查看答案 
 
热门试题
- 患者男,58岁。近期行Roux-en-Y
- 对于结核性腹膜炎患者的处理叙述,正确的是
- 男,40岁有血吸虫感染史, 腹胀不适,食
- 下列哪项不符合由促胃液素瘤引起的消化性溃
- 1、为明确隆起诊断,该患者最合适的检查为
- 男性,20岁。1年来中上腹时有疼痛, 痛
- 肝硬化并发上消化道大出血,最主要的病因是
- 原发性胆汁性肝硬化(PBC)病理分期中,
- 门脉压增高表现最显著的是 ( )
- 原发性肝癌的病因可能与下列几项有关,除外
- 溃疡性结肠炎的主要病理特点为A、结肠壁全
- 下列哪几种物质促进胰腺分泌( )A、
- 1、患者最可能的诊断为( )2、下列
- 肝硬化患者内分泌系统紊乱出现的表现不包括
- 食管贲门黏膜撕裂综合征患者出血可自行停止
- 1、此患者最可能的诊断是2、为确诊应选何
- 服用阿司匹林后呕血的原因是( )。A
- 在上消化道大出血补充血容量时,哪种液体2
- 男性,45岁, 反复血便30年,加重3个
- “白胆汁”是 ( )A、水B、渗