试题详情
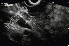
- 单项选择题男性,50岁, 上腹隐痛,食欲不振3个月。1个月来出现黄疸且进行性加深, 体重明显减轻,查体全身明显黄染, 肝未触及,深吸气时可触到肿大胆囊底部, 无触痛。化验血胆红素15mg/dl,尿检胆红素阳性图中胰腺病变可能的诊断是 ( )

A、正常
B、胰腺囊肿
C、慢性胰腺炎
D、胰腺囊腺癌
E、胰腺癌
关注下方微信公众号,搜题查看答案

热门试题
- 其他器官恶性肿瘤术后出现肝脏结节,特别是
- 胃酸分泌功能检查术前准备的工作包括(
- 男性,50岁, 上腹饱胀不适,明显厌食,
- 有关门脉性肝硬化组织学变化,下列哪项不正
- 目前临床上常用的质子泵抑制药包括(
- 男性,70岁。进行性吞咽困难3个月, 食
- 十二指肠溃疡高胃酸的主要因素有( )
- CT诊断脂肪肝的依据为( )。A、肝
- 在十二指肠产生的气体是A、H
- Crohn病痉挛性腹痛最常见的部位是A、
- 关于慢性胰腺炎的内科治疗,错误的是A、病
- 男性,28岁。周期性中上腹痛5年余, 多
- 原发性胆汁性肝硬化患者最突出的生化异常为
- 男性,40岁。因肠结核合并结核性腹膜炎入
- 一急性胰腺炎患者出现手足搐搦,给予静脉注
- p53基因产物的生物学功能不包括A、抑制
- 下列哪一项是肝肾综合征的实验室检查特征A
- 1、下面不支持导管相关性败血症的诊断的是
- 产生类癌综合征的物质为( )。A、5
- 女性,25岁, 近2周来,食欲不振, 恶