试题详情
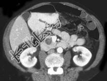
- 单项选择题患者,女, 57岁,上腹部隐痛半年余, CT片,最可能的诊断是 ( )

A、胰腺癌
B、胰腺脓肿
C、胰腺假性囊肿
D、胰腺囊腺瘤
E、胰岛细胞瘤
关注下方微信公众号,搜题查看答案

热门试题
- 关于幽门螺杆菌感染阳性的消化性溃疡的治疗
- 胃肠道气体的清除方式不包括( )。A
- 患者,男性, 38岁。近1周来因劳累后上
- 对结核性腹膜炎最有诊断价值的检查是A、P
- 除以下哪项外,均考虑恶性溃疡( )A
- 女,36岁, 反复腹泻、黏液脓血便,伴关
- 1、诊断应首选考虑 ( )2、用
- 腹腔镜检查术的适应证有( )。A、原
- 下列药物中,何种药物引起药物性肝损伤的概
- 原发性肝癌按大体形态分型下述哪些项正确A
- 男性,62岁, 反复下腹疼痛6个月,伴大
- 溃疡性结肠炎采用糖皮质激素治疗,叙述不正
- 最能提示消化性溃疡已有并发症发生的是
- 美国国家综合癌症网(NCCN)2009版
- 呕血伴黄疸,多见于下列哪种疾病A、食管炎
- 健康人每日解成形便1次,粪便量不超过A、
- 溃疡性结肠炎的完整诊断包括A、临床类型、
- 关于肝性脑病的饮食与营养哪项是错误的
- 下列关于胰腺癌的描述错误的是A、90%起
- 急性胰腺炎白细胞总数增加,主要升高的白细