试题详情
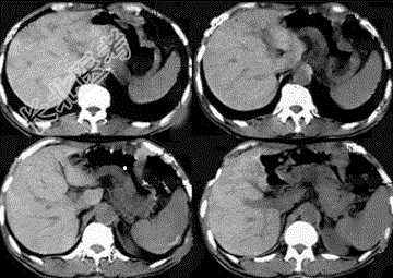
- 单项选择题男性,50岁, 中上腹饱胀、疼痛半年,消瘦, CT扫描如图,应诊断为

A、淋巴瘤
B、胃腺瘤
C、胃癌
D、胃窦溃疡梗阻
E、胃平滑肌瘤
关注下方微信公众号,搜题查看答案

热门试题
- NCCN2009版肝癌指南推荐的局部消融
- 影响经导管肝动脉化疗栓塞术(TACE)疗
- 对急腹症最有用的影像学检查技术是(
- 肝硬化失代偿期,检验结果不常见的是A、凝
- 药物性肝病亚临床肝损伤的表现为( )
- 男性,35岁。上腹部饱胀, 嗳气,反酸和
- 男性,56岁。4个月来出现上腹部隐痛,
- 慢性萎缩性胃炎与胃癌的关系,下列哪项是正
- 不属于维生素K依赖的凝血因子是( )
- 体格检查时发现ALT100U,HBsAg
- 肝硬化脾大的主要原因为A、肝动脉压力增高
- 胃食管反流病的致病因素中,最主要的是A、
- 关于肝性脑病的治疗下述错误的是A、禁止蛋
- 经导管肝动脉化疗栓塞术(TACE)术后的
- 经常出现在右下腹的慢性腹痛有( )。
- 关于肠结核的好发部位下列哪项是正确的A、
- 除外下列哪项其余均属于结肠激惹综合征
- 治疗胃肠道功能性疾病的关键是A、中药治疗
- 30岁以下的人比30岁以上的人发生率更高
- 下列中以结合胆红素升高为主的疾病是(