试题详情
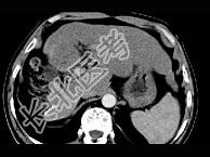
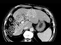
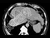
- 单项选择题女性,56岁, 腹胀、双下肢水肿、乏力、食欲不振,影像所见如下图, 最佳的诊断是  (    )
       
- A、酒精性肝硬化并肝血管瘤 
- B、血吸虫肝硬化并肝癌 
- C、肝炎后肝硬化并肝癌 
- D、局限性脂肪肝 
- E、原发性肝癌 
- 关注下方微信公众号,搜题查看答案 
 
热门试题
- 上、下消化道以何为界 ( )A、
- 腹痛的性质不正确的是 ( )A、
- 除以下哪项外,均考虑恶性溃疡( )A
- 肝硬化病人发生自发性腹膜炎的主要原因是
- 溃疡性结肠炎采用糖皮质激素治疗的不良反应
- 1、最可能的诊断是( )2、最可能与
- 慢性浅表性胃炎的胃镜下表现为( )A
- 热带口炎性腹泻患者的口角炎、唇炎、舌炎,
- 肝硬化治疗原则哪项不对A、休息B、高热量
- 下列哪项指标对溃疡性结肠炎病情轻重的判断
- 肝癌最常见而且重要的症状和体征为A、血性
- 肝硬化腹水患者每日钠盐摄入量应限制在A、
- 所有下腹痛的育龄期妇女都应进行的检查为(
- 肝肾综合征患者血流动力学特征是A、有效循
- 进展期胃癌最早出现的症状是 (
- 肝硬化并上消化道出血主要原因可能是A、消
- 消化性溃疡的黏膜防御因子,下列错误的是A
- 急性胰腺炎引起腹痛的机制不包括( )
- 下列检查可以用于证实蛋白从消化道的丢失A
- 家族性结肠息肉病癌变的特点不包括(