试题详情
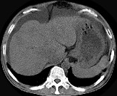
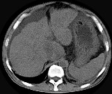
- 单项选择题男,44岁, 有乙肝病史,现腹胀, 右上腹痛,消化不良, 消瘦、乏力、贫血、黄疸,血清转氨酶升高, 清蛋白/球蛋白比值倒置。CT、MRI检查如下图,最准确的诊断是 ( )

A、肝硬化并腹水
B、肝硬化并腹水、再生结节
C、肝硬化腹水、肝癌
D、肝硬化并再生结节
E、肝硬化并腹水、脂肪肝
关注下方微信公众号,搜题查看答案

热门试题
- 患者18岁,发热起病3d后下降, 伴恶心
- 小肠液的主要成分不包括A、电解质B、黏液
- 急性重症胆管炎并发休克,最重要的治疗措施
- 急性胰腺炎的基本病理改变是( )。A
- 确诊慢性胃炎最可靠的检查方法( )A
- 肝硬化代偿期的临床表现最早出现的是(
- 1、患者应诊断为( )。A、胃黏膜脱
- 男性,24岁。节律性中上腹痛3年, 每于
- 男性,65岁。20年前诊断为右心衰竭,
- 食管癌普查,早期诊断的主要方法是A、X线
- 肠系膜上动脉压迫综合征的临床特征不正确的
- 非酒精性脂肪性肝病进展的危险因素有A、高
- 胃窦十二指肠测压的临床适应证有( )
- 1、该患者最可能诊断为( )。A、急
- 消化道息肉高频电切除术时,以下气体增多可
- 男,30岁,脑外伤后昏迷。既往体健。病后
- 关于肠易激综合征(IBS)之叙述,错误的
- 1、根据患者现有病史,患者肝损伤、黄疸需
- 下列检查中哪项对原发性肝癌的早期诊断最有
- 与免疫功能无关的发生于普通人群的可导致急