试题详情
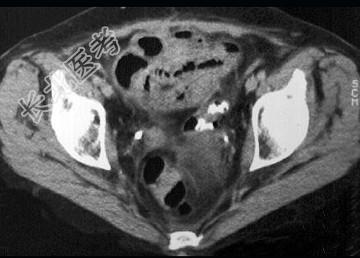
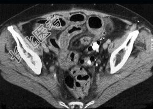
- 单项选择题女,54岁, 直肠癌放疗后一月,阵发性腹痛腹胀, 呕吐应,CT表现如图, 应诊断为 ( )

A、小肠淋巴瘤
B、小肠结核
C、小肠Crohn病
D、放射性小肠炎
E、肠易激综合征
关注下方微信公众号,搜题查看答案

热门试题
- 男性,60岁。中上腹胀痛不适已10余年,
- 关于胃黏膜自身防御-修复因素的叙述,不正
- X线钡餐检查呈跳跃征像(Stier1in
- 对“上腹痛”的描述,错误的是A、可伴上腹
- 下列不属于门脉高压综合征的是A、肝大B、
- 原发性肝癌最常见的感染模式是( )。
- 女性,30岁。便秘2年, 近半个月来大便
- 我国大肠癌分期的方案对Dukes分期进行
- 在十二指肠溃疡的发病机制中起重要作用的是
- 自身免疫性肝炎开始激素治疗的绝对适应证是
- 下列哪种疾病是结肠癌的高危疾病A、大肠息
- 有关胆石症,哪项是错误的 ( )
- 最常见的小肠良性肿瘤是( )。A、腺
- 下列关于慢性萎缩性胃炎叙述,不正确的是(
- 不符合病毒性肝炎基本病变的是 (
- 1、为鉴别患者是呕血还是咯血,哪项病史最
- 肝硬化病人做门体静脉分流术后1年,出现腹
- 诊断嗜酸细胞胃肠炎最有效的检查是A、粪检
- 以下哪项关于胰腺外分泌消化酶的选项是正确
- 1、患者最可能的诊断为( )。A、肝