试题详情
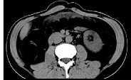
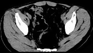
- 单项选择题女,51岁, 腹胀、腹痛、进行性消瘦,影像检查如下图, 最佳诊断是 ( )

A、乙状结肠Crohn病
B、乙状结肠结核
C、乙状结肠癌
D、乙状结肠淋巴瘤
E、乙状结肠息肉
关注下方微信公众号,搜题查看答案

热门试题
- 男性,62岁, 反复下腹疼痛6个月,伴大
- 女性,32岁, 轻度腹泻伴低热3个月,右
- 十二指肠溃疡患者壁细胞总数平均约为正常人
- 属于肠易激综合征患者腹痛的特点是A、部位
- 1、该患者目前诊断为2、还需要与下列哪种
- 可行肝移植手术的是A、肝外存在难以根治的
- 关于弹性蛋白酶说法正确的是A、可溶解血管
- 食管酸滴定试验的适应证有( )。A、
- 有关食管癌的治疗与预后错误的有( )
- 1、根据患者现有病史,患者肝损伤、黄疸需
- 男,44岁, 患乙肝多年,现腹痛, 腹胀
- 1、导致患者出现这些临床表现最可能的原因
- 以下属于肠外营养适应证的有( )。A
- 本身可引起肝损伤的药物是( )。A、
- 患者男性,9岁, 解鲜血便1周,腹部体检
- 丙型肝炎的临床表现特点没有 (
- 女性,30岁, 系统性红斑狼疮患者,狼疮
- 男性,20岁。食管钡餐检查提示食管憩室,
- 关于慢性萎缩性胃炎,下列哪项是最正确的
- 有关消化系统病理,以下哪项描述是正确的(