试题详情
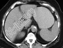
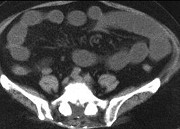
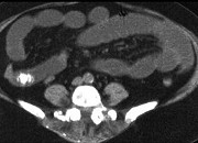
- 单项选择题男,30岁, 有胆结石病史,近日腹痛、腹胀, CT检查如图,应诊断为  (    )
     
- A、胆石症 
- B、胆石性肠梗阻 
- C、肠结核 
- D、小肠克罗恩病 
- E、小肠淋巴瘤 
- 关注下方微信公众号,搜题查看答案 
 
热门试题
- Hp能在胃内定植是因为 ( )A
- 1、患者应及时进行的检查是A、肠供血动脉
- 对原发性肝癌有协助诊断意义的辅助检查是
- 下列关于Crohn病的临床表现错误的是A
- 食管癌早期诊断简易而有效的方法是A、X线
- 临床最常见的肝良性肿瘤为( )。A、
- 关于慢性胃炎的预后叙述,不正确的是(
- Lauren分型正确的包括A、是按肿瘤起
- 癌灶直径≤5mmA、早期胃癌B、小胃癌C
- 早期肝癌普查时最有效和实用的方法是(
- GIST的治疗要点有A、争取手术彻底切除
- 以下属于肠结核必须手术治疗指征的有(
- 患者18岁,发热起病3d后下降, 伴恶心
- 下列哪几项是肠结核必须手术治疗的指征A、
- 男,64岁, 因肝硬化食管静脉曲张破裂出
- 下列有关胃食管反流病烧心的描述,错误的是
- 渗出性结核性腹膜炎的最佳强化治疗方案是A
- 正常情况下腹腔内起润滑作用的液体量是
- 属于容积性泻药的有( )A、欧车前B
- 引发大肠癌的高危人群有( )。A、大