试题详情
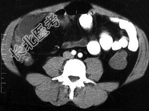
- 单项选择题女,30岁, 右下腹痛,腹泻便秘交替出现, 消瘦乏力,血沉加快, X线检查如图,最佳的诊断是 ( )

A、小肠癌
B、小肠结核
C、小肠克罗恩病
D、结肠癌
E、阑尾炎
关注下方微信公众号,搜题查看答案

热门试题
- 再生障碍性贫血与阵发性睡眠性血红蛋白尿最
- 十二指肠溃疡的好发部位是A、十二指肠水平
- 下列哪项有关早期食管癌的描述是不正确的A
- 1、为明确诊断应紧急检查的项目包括2、患
- 食管癌患者有持续性胸背痛,多表示(
- Hp产生的何种物质可破坏细胞膜的完整性A
- 女性,40岁, 便秘10余年,加重半年,
- 针对原发性胆汁性肝硬化瘙痒进行治疗的药物
- 治疗病毒性肝炎应用激素的适应证有A、急性
- 下列疾病引起吸收不良综合征的机制正确的是
- 1、下列这些病史中最有诊断意义的是2、该
- 对诊断门脉高压症最有价值的是A、腹腔积液
- 符合结核性腹膜炎腹水特点的是A、SAAG
- 食管酸滴定试验的禁忌证不包括( )。
- NSAID引起消化性溃疡的机制是(
- 根据罗马Ⅱ的诊断标准,功能性消化不良可分
- 进行内镜下黏膜剥离术操作时使用的黏膜下注
- 慢性胆囊炎的诊断依据不正确的是( )
- 关于肠结核,下列说法不正确的是A、可出现
- 腹部手术后能进食的主要依据是A、胃管抽出