试题详情
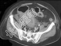
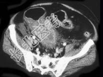
- 单项选择题男,18岁, 患者皮肤挫伤,用林可霉素预防感染, 次日大便次数增多、出现粘液便,结合图像应考虑为 ( )

A、结肠淋巴瘤
B、假膜性肠炎
C、结肠间质瘤
D、结肠结核
E、结肠癌
关注下方微信公众号,搜题查看答案

热门试题
- 内镜下黏膜剥离术(ESD)的术后常见并发
- 诊断GIST的要点不包括A、内镜下可见胃
- 急性胆囊炎常见的并发症有 ( )
- 胚胎起源于后肠的内脏为( )。A、小
- 患者,女性, 25岁。因晚上吃了一碗剩饭
- 链球菌感染后急性肾小球肾炎与IgA肾病的
- 容积性泻药的作用机制是A、在肠腔内吸水膨
- 女,45岁, 急性右上腹剧痛2小时,向右
- 在间接致癌物的代谢活化过程中会涉及一系列
- 急性胰腺炎,治疗不正确的是A、静脉补液量
- 1、为确定诊断,应做哪项检查以助诊断2、
- 女性,45岁。反复晕厥, 抽搐3天。查体
- 男性,22岁,高度水肿,尿蛋白(++++
- 食管癌早期临床表现为A、锁骨上窝淋巴结转
- 碱反流(胆汁反流)中,损伤食管黏膜的主要
- 关于一过性LES松弛的描述正确的是 (
- 美国国家综合癌症网(NCCN)2009版
- 不是胆汁淤积性黄疸特征的是 (
- 目前认为引起自身免疫性肝炎的主要因素为A
- 胃脉管性肿瘤中最常见的是( )。A、