试题详情
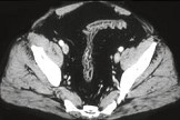
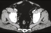
- 单项选择题男,41岁, 腹痛、腹泻、腹胀、脓血便、里急后重、疲乏无力,结合图像, 选择最可诊断  (    )
   
- A、溃疡性结肠炎 
- B、结肠克罗恩病 
- C、结肠结核 
- D、假膜性肠炎 
- E、结肠淋巴瘤 
- 关注下方微信公众号,搜题查看答案 
 
热门试题
- 男,22岁, 因关节痛服吲哚美辛(消炎痛
- 男性,30岁,右上腹痛伴反酸2年余,胃镜
- 以下属于急性胃炎临床表现的是( )。
- 直肠刺激症状的临床表现有( )。A、
- 多种病因导致急性胰腺炎,虽致死途径不同,
- 女性,20岁。间断上腹痛3年, 加重1周
- 1、诊断首先考虑为A、急性胃炎B、泌尿系
- 不需与原发性肝癌进行鉴别的疾病是(
- 慢性活动性肝炎的临床表现有 (
- 目前肝癌早期宜采用哪一种治疗为主A、放射
- 男性,41岁, 2周来反复呕血3次,每日
- 急性水肿型胰腺炎的治疗,原则上主要采用哪
- 中链脂肪酸的特点不包括A、分子量小、水溶
- 餐后不适综合征的主要表现为( )。A
- 引起自身免疫性肝炎(AIH)的因素有(
- 急性胰腺炎患者镇痛治疗不可使用的药物有(
- 女性,62岁。诊断为胃癌, 血压160/
- 女性病人,30岁, 黄疸半月,自诉尿黄,
- 1、首先应考虑的诊断为( )。A、胰
- 女性,50岁。上腹剧痛, 休克入院。巩膜