试题详情
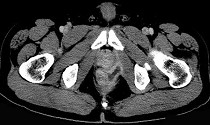
- 单项选择题男,28岁, 高热,肛门坠胀, 频有便意,直肠指诊时触及直肠粘膜下饱满, 柔软,压痛的肿块, CT检查如图,诊断为 ( )

A、直肠癌
B、直肠炎性息肉
C、直肠粘膜下脓肿
D、直肠绒毛状腺瘤
E、直肠粘膜下瘘
关注下方微信公众号,搜题查看答案

热门试题
- 1、为明确诊断应紧急检查的项目包括(提示
- 以下物质中主要在回肠主动吸收的是A、糖类
- 渗出性结核性腹膜炎的最佳强化治疗方案是A
- 1、首选的检查方法是2、首先要考虑的诊断
- 女性,69岁。肝硬化20年。1周前诊断为
- 根据主要的粪便性状对肠易激综合征(IBS
- 1、为明确诊断应进行2、最可能的诊断是(
- 1、该患者应考虑下列哪项疾病A、胃癌B、
- 1、本病诊断考虑为 ( )2、[
- 药物性肝病首先应与以下哪种疾病鉴别(
- 1、最可能的诊断是( )A、变异型心
- 细菌性肝脓肿在未确定病原菌以前,应首选对
- 可以确诊肠结核的是 ( )A、血
- 在肝脏参与乙醇代谢的酶系中,过氧化物酶存
- 在婴儿时期,急性腹痛的常见原因有(
- 下述疾病好发部位描述中错误的是A、十二指
- 原发性肝癌最常见的体征是( )。A、
- 肝硬化氨基酸代谢异常主要表现为( )
- 代谢异常原因性肝肿大,不包括A、血色病B
- 胃肠减压术的禁忌证有( )。A、食管