试题详情
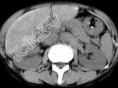
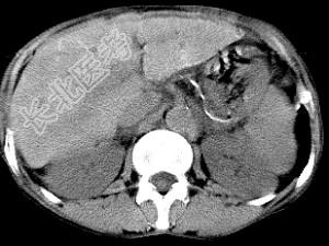
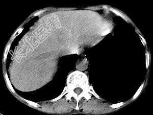
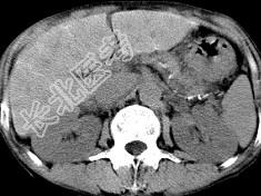
- 单项选择题男,40岁有血吸虫感染史, 腹胀不适,食欲减退, CT扫描所见如图,最可能诊断为 ( )

A、脂肪肝
B、肝炎后肝硬化
C、血吸虫后肝硬化
D、酒精性肝硬化
E、胆汁性肝硬化
关注下方微信公众号,搜题查看答案

热门试题
- 国家建立健全A、艾滋病防治网络B、艾滋病
- 温热病邪的致病特点为( )A、易耗伤
- 临近疾病恢复期出现,并持续较长时期的抗体
- 历节病内因肝肾不足的脉象为A、沉细B、沉
- 以下不属于《素问·玉机真藏论》"五实"内
- 据《素问·生气通天论》,"开阖不得, 寒
- 《阴阳应象大论》指出药食气味中气厚的作用
- 《医疗机构管理条例》规定,医疗机构不得使
- 独特型抗原决定簇的氨基酸差异主要在A、绞
- 关于麻疹的临床特点无误的是 (
- 流行性腮腺炎需与什么疾病鉴别 (
- 关于图中所示霍乱弧菌的特点,以下哪项是错
- 大头瘟的致病因素应为A、风热时毒B、风温
- 据《素问·痿论》的内容,"肾热"的诊断要
- 抗菌药物临床应用的分级管理说法不正确的是
- 《伤寒论》中未论及的发黄证有A、湿热发黄
- 少阴病包括哪些治疗禁忌( )A、禁清
- 以下诸项中除哪项以外,为麻黄汤证、桂枝汤
- 钩端螺旋体的主要特点为 ( )A
- 肾足少阴之脉"气不足"可以出现的症状是A