试题详情
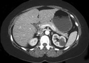
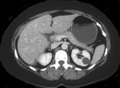
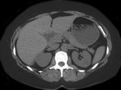
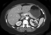
- 单项选择题女性,最近感腰部胀痛, 体检发现B超右肾正常,左肾有一囊肿, 双肾体积不增大,尿常规、肾功能正常, 无家族病史,CT表现如图所示, 最可能考虑为 ( )




A、肾积水
B、多囊肾
C、多发性肾囊肿
D、肾肿瘤
E、肾结核
关注下方微信公众号,搜题查看答案

热门试题
- 血浆置换的相对禁忌证包括A、对血浆、人血
- 关于功能性蛋白尿,叙述正确的有A、可由剧
- 患者男,60岁, 患糖尿病15年,肾功能
- 以肾损害为主要表现的Fabry病的诊断必
- 男,25岁。感冒后1周发生全身水肿, 伴
- 尿红细胞形态学检查有助于鉴别A、肾小球源
- 下列哪一项是诊断肾病综合征的必需条件A、
- 血BUN升高是A、上消化道出血B、体内高
- 患者男性,19岁, 学生,参加学校运动会
- 静脉肾盂造影,对下列哪项最有诊断价值
- 真菌性尿路感染最常见的病原菌是A、隐球菌
- 导致系统性红斑狼疮的发生和发展的因素包括
- 哪项化验结果不符合晚期尿毒症表现A、血钾
- 下列药物中属于烷化剂的有A、泼尼松B、甲
- 尿毒症贫血的主要原因是 ( )A
- 体检发现镜下血尿,临床上最可能的原发性肾
- 风湿性疾病的概念是指A、系统性红斑狼疮B
- 真性细菌尿伴肾小管性酸中毒,可能的诊断为
- 关于急性肾炎的治疗,下列哪种说法不正确A
- 典型2型糖尿病肾病的1型糖尿病肾病特征性