试题详情
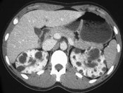
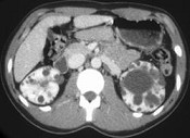
- 单项选择题男性,40岁, 因腰痛血尿就诊,B超检查发现肾脏增大, CT表现如图所示,追问病史发现家族中有类似疾病, 最可能考虑为 ( )


A、多囊肾
B、肾积水
C、多发性肾囊肿
D、肾肿瘤
E、肾结核
关注下方微信公众号,搜题查看答案

热门试题
- 急性膀胱炎和急性肾盂肾炎的主要鉴别点为A
- 血栓性血小板减少性紫癜的溶血性贫血表现包
- 重症急性胰腺炎早期可有A、胰腺脓肿B、C
- 常染色体显性遗传性多囊肾病确定诊断主要依
- HCV感染相关的肾小球疾病无论哪种病理类
- 血浆的分离方法可分为A、离心式分离B、膜
- 患者,男性, 48岁。患慢性肾炎多年,近
- 急性间质性肾炎的病变主要位于A、肾间质B
- 肾实质性急性肾衰竭不能明确者,确诊的方法
- 关于急性肾炎的治疗,叙述正确的有A、对症
- 尿细菌定量培养假阴性的原因不包括A、近7
- 肾脏疾病的治疗原则包括A、祛除病因B、一
- 1、首先考虑的诊断是A、急性胃炎B、急性
- ( )是目前国内外最普及的肾活检方法
- 1、血液检查可出现的结果有( )。A、
- 高血压肾损害的主要病理生理机制是A、交感
- 过敏性紫癜性肾炎的病因包括A、感染B、药
- 血友病性关节炎为A、血小板减少B、外伤性
- 慢性肾盂肾炎的诊断依据是A、清洁中段尿细
- 以下关于驼峰肾的叙述,错误的是A、是一种