试题详情
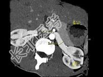
- 多项选择题女,24岁, 发作性肉眼血尿1年,实验室检查: 尿蛋白(-~+)、红细胞(1~2/HP),尿蛋白直立试验(+), CT扫描如图,下列说法正确的是 ( )

A、双肾大小形态正常
B、左肾静脉走行至肠系膜上动脉与腹主动脉间变细,近左肾处扩张
C、左侧肠系膜上动脉与腹主动脉夹角变小
D、左侧肠系膜上动脉与腹主动脉夹角增大
E、考虑为左肾静脉胡桃夹综合征
关注下方微信公众号,搜题查看答案

热门试题
- 以下对慢性肾小球肾炎的实验室诊断最有意义
- 年轻女性,因“高热、畏寒、尿频、尿急、尿
- 关于排尿反射的叙述,错误的是A、感受器为
- 下列哪种自身抗体属合成酶抗体 (
- 关于急性肾炎的预后,说法正确的是A、血清
- 下列哪项不是慢性肾炎的常见病理类型A、膜
- 淋巴瘤肾损害的类型主要有A、淋巴瘤肾脏浸
- 单纯性肾囊肿,囊肿外观呈A、红色B、粉色
- 可能参与尿酸介导的血管平滑肌增殖和炎症反
- 与药物的分布有关的是A、药物的理化特性B
- 肾后性急性肾衰竭的特征A、血容量减少B、
- 急性肾损伤的类型诊断主要是区别A、肾前性
- 强化血浆置换疗法适用于A、急进性肾炎B、
- 下列关于留置尿管时间长短说法中,正确的是
- 梗阻性肾病的CT及磁共振成像检查可A、了
- 狼疮性肾炎的肾脏活动中,免疫学指标表现为
- 成人病理性蛋白尿是指尿蛋白持续A、>
- 淋巴道感染是指A、病原菌经由尿道上行至膀
- 下列情况一般慎行肾穿刺活检术的是A、急性
- 腹膜透析患者具备下列哪些条件可诊断为腹膜