试题详情
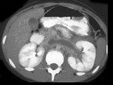
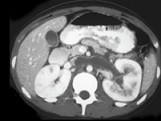
- 多项选择题男,48岁, 蛋白尿多年,CT如图所示, 诊断为肾静脉血栓,肾静脉血栓形成的原因 ( )

A、膜性肾小球肾炎
B、肾癌
C、胰腺炎
D、外压性
E、创伤、脱水、血小板增多症
关注下方微信公众号,搜题查看答案

热门试题
- 下述两张免疫荧光图片显微镜下表现为:肾小
- 约20%~35%患者的临床表现可自发缓解
- 混合性结缔组织病是一组临床综合征,血清中
- 下列关于继发性淀粉样变性临床表现的叙述,
- 与尿路感染无明显关系的压痛点A、脊肋点B
- 原发性小血管炎肾损害的治疗可分为A、诱导
- 在骨关节病中,最先受累的关节组织是A、骨
- 急性肾小管间质性肾炎的临床诊断依据有A、
- 微炎症是指一种( )感染引起的,表现
- 血浆置换并发轻度的变态反应可立即使用抗过
- 单侧肾动脉狭窄高血压患者,首选的降压药是
- 1、该患者的病情最可能是A、颅内感染B、
- 恶性高血压一经诊断,首选处理措施是A、行
- 尿液中出现Benee-Jones(凝溶蛋
- 1、首先考虑的诊断是 ( )2、
- 关于Fanconi综合征的描述,不正确的
- 变性红细胞尿一般提示A、膀胱出血B、尿道
- 急性肾小球肾炎多见于下列何种细菌感染后A
- 可以在不影响顺铂抗肿瘤疗效的前提下,降低
- 肾小球增大导致足细胞结构改变包括A、足突