试题详情
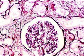
单项选择题阅读该病理图片(pasm)后,有何印像 ( )

A、系膜增生性肾小球肾炎

B、膜性肾病

C、正常肾小球

D、局灶性肾炎

E、膜增生性肾小球性肾炎

  • 关注下方微信公众号,搜题查看答案

热门试题