试题详情
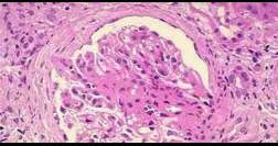
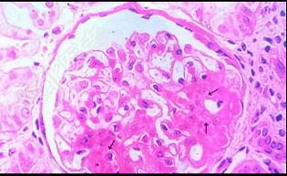
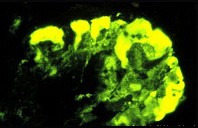
- 单项选择题图-1为HE染色,图-2为PAS染色, 图-3免疫荧光镜下可见IgM团块状沉积于病灶区,图-4电镜下可见上皮细胞足突广泛融合, 系膜增生(M)。阅读这些病理图片,诊断其病理类型是 ( )




A、系膜增生性肾小球肾炎
B、膜增生性肾小球肾炎
C、局灶性节段性肾小球硬化
D、肾小球轻微病变
E、局灶性肾炎
关注下方微信公众号,搜题查看答案

热门试题
- 多发性骨髓瘤是一种浆细胞恶病质性疾病,诊
- IgA肾病的主要病理类型为A、新月体肾小
- 关于急性肾小管坏死的尿液检查,叙述正确的
- 患者,男性, 46岁。患有糖尿病肾病合并
- 患者,男, 45岁,无症状, 血压160
- 导致尿毒症性心肌病的原因有A、高血压B、
- 抗中性粒细胞胞浆抗体(ANCA)与下列哪
- 对肾动脉狭窄最有诊断价值的是A、病史B、
- 肾衰竭时由于药物的相互作用和肝酶抑制剂及
- 急性肾炎多见于A、青年女性B、儿童,男性
- 1、此时对诊断和鉴别诊断帮助最小的检查是
- 男性,45岁, 因双下肢明显浮肿就诊。体
- ( )是肾血管、肾盂、神经及淋巴管出
- 尿液留取后,应在( )内送检A、10
- 以下关于急性尿潴留的叙述,正确的是A、发
- 毒物相关性肾损害中,肾小管上皮细胞直接受
- 患者男性,32岁, IgA肾病病史7年,
- 女,25岁, 尿频、尿急、尿痛伴发热腰痛
- 丙型肝炎病毒(HCV)相关性肾小球肾炎的
- 尿毒症患者,内生肌酐清除率<5ml