试题详情
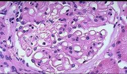
- 单项选择题光镜和电镜肾脏病理表现如下(图-1PAS基底膜增厚,中度系膜增生, 图-2上皮下电子致密物沉积),其符合下面哪种病理类型 ( )


A、膜性肾小球肾炎
B、局灶节段性肾小球硬化
C、膜增生性肾小球肾炎
D、肾小球轻微病变
E、局灶性肾炎
关注下方微信公众号,搜题查看答案

热门试题
- 患者,男性, 56岁。4天前车祸致失血性
- 1、对该患者的诊断是2、该患者贫血的主要
- 糖皮质激素通过胎盘时可被灭活的是A、泼尼
- 鉴别上下尿路感染最直接的依据是 (
- 慢性肾盂肾炎反复发作的诱因为A、尿路畸形
- 1、此时询问病史最不重要的项目是2、此时
- 神经源性膀胱的病因不包括A、脊髓损伤B、
- 以下可导致急性肾盂肾炎的是A、葡萄球菌B
- 患者,男性, 46岁。静脉注射25%葡萄
- 下列哪一项不是急性肾静脉血栓形成的典型临
- 急性肾衰竭的主要临床表现是( )A、
- 关于急进性肾小球肾炎与急性肾小管间质性肾
- 肾小球病的始发机制是A、炎症机制B、遗传
- 对狼疮性肾炎具有诊断价值的形态特征(肾病
- 下列关于延缓慢性。肾衰竭进展的饮食治疗中
- 1、该患者肾损害的主要类型是2、该患者急
- 1、根据上述临床表现,患者少尿的原因主要
- 急性弥漫性增生性肾炎和急性肾盂肾炎患者尿
- 脓尿特异性感染包括A、肾盂肾炎B、肾积脓
- 氨基糖苷类抗生素肾病的主要表现为A、肾小