试题详情
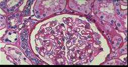
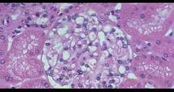
- 单项选择题如图所示,关于这两张病理图片, 下列哪项说法是正确的

A、上图系膜增生,下图正常
B、下图系膜增生,上图正常
C、均正常
D、均系膜增生
E、以上均不是
关注下方微信公众号,搜题查看答案

热门试题
- 冷球蛋白血症可见于A、系统性红斑狼疮B、
- 肾髓质高渗梯度建立的主要动力是A、近端小
- 尿路感染的检查,如果连续2次清洁中段尿细
- 某患者尿素的清除率为80ml/min,菊
- 尿路感染罕见的感染是A、凝固酶阴性葡萄球
- 尿急的原因多为A、尿路感染B、前列腺炎C
- 急性铅中毒性肾病的肾组织病理可见A、近端
- 1、为明确诊断,最有价值的检查项目为2、
- 影响药物分布的重要因素是A、血浆清除率B
- 肾血管造影的禁忌证为A、鉴别肾肿块的性质
- 范科尼综合征的治疗包括A、调节水、电解质
- 患者男,67岁,高血压史15年,体型偏胖
- 有些药物本身不经肾排出,但其转换为(
- 与药物的分布有关的是A、药物的理化特性B
- 毒蝎蜇伤后的表现有A、急性肾损伤B、肝损
- 溶血性尿毒综合征的尿液检查可见A、尿量减
- 下列哪种生物活性物质不是肾脏分泌的A、肾
- 1、为临床诊断,应首先检查2、肾活检报告
- 以下哪一种是引起儿童继发性肾病综合征的常
- 真性细菌尿,伴尿N-乙酰-β-D-氨基葡