试题详情
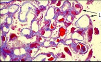
- 单项选择题图-1可见上皮下少量嗜复红蛋白沉积(1)(Masson),图-2可见上皮下少量电子致密物沉积沉积(D), 上皮细胞足突融合,其病理可诊断为 ( )


A、Ⅰ期膜性肾病
B、Ⅱ期膜性肾病
C、Ⅲ期膜性肾病
D、Ⅳ期膜性肾病
E、Ⅴ期膜性肾病
关注下方微信公众号,搜题查看答案

热门试题
- SLE可检测到的自身抗体中与新生儿狼疮有
- 治疗妊娠期尿路感染可选用的抗生素是A、氯
- 患者,男,65岁。系慢性肾功能衰竭病人,
- 某患者脊髓腰段横断外伤后出现尿失禁,其机
- 下列关于急性肾损伤(AKI)的预后评估,
- 异环磷酰胺的肾损害表现包括A、Ⅰ型或Ⅱ型
- 1、确诊系统性红斑狼疮还需要的检查结果是
- 患者,女, 35岁,反复低热, 夜尿2年
- 肾病综合征患者应用强的松治疗五周后,尿蛋
- 患者男性,32岁, IgA肾病病史7年,
- IgA肾病的特点为A、单纯IgA沉积B、
- 胆固醇结晶栓塞性肾病免疫病理检查可见硬化
- 环孢素肾病的检查中,有助于肾毒性的诊断的
- 男,52岁,尿频、尿急伴腰痛半年。尿常规
- 有关Goodpasture综合征说法正确
- 高血钾型肾小管性酸中毒的病理生理学基础是
- 下列影像学检查中,是诊断胸主动脉来源的动
- 肾病综合征的主要治疗是A、利尿消肿B、抑
- 到目前,类风湿性关节炎的病因被认为是A、
- 近年来慢性肾炎用泼尼松治疗,在诱导症状缓