试题详情
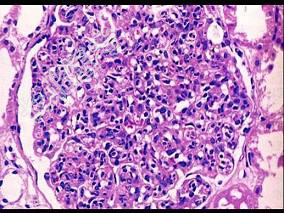
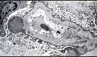
- 单项选择题阅读下面两张图片(电镜箭头示上皮下驼峰状电子致密物沉积)后,其病理诊断为 ( )


A、急性间质性肾炎
B、系膜增生性肾小球肾炎
C、新月体性肾小球肾炎
D、膜增生性肾小球肾炎
E、毛细血管内增生性肾小球肾炎
关注下方微信公众号,搜题查看答案

热门试题
- 酚红排泄率主要测定A、肾小球滤过功能B、
- 乙肝病毒相关性肾炎诊断的最基本条件是A、
- 肾淀粉样变性的预后不佳,主要的死亡原因为
- 阅读下面两张图片(电镜箭头示上皮下驼峰状
- 关于急性肾小球肾炎的病理,下列哪项不正确
- 下列关于肾血流动力学异常的原因哪项是错误
- 用于糖尿病治疗的一种胰岛素增敏药是A、醛
- 患者,男,28岁,慢性肾炎,血压200/
- 以下关于远端肾小管性酸中毒发病机制的说法
- 以下属于狼疮性肾炎轻型的肾脏表现的是A、
- 提示上尿路感染的指标不包括A、膀胱冲洗后
- 1、首选的检查是A、实验室检查癌胚抗原B
- 肾前性少尿与无尿的临床特点有A、具有引起
- 布鲁菌病为人畜共患传染病,其主要传播途径
- 患者,男性, 68岁。因“体检发现血压升
- 正常肾小球滤过膜允许顺利通过的蛋白质分子
- 患者男性,42岁,因“多饮,多尿、多食、
- β-内酰胺抗生素中,最易引起AIN的是A
- 患者男性,42岁, 12岁时患急性肾炎,
- 以下关于急性中毒性肾病的治疗原则,叙述错