试题详情
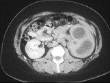
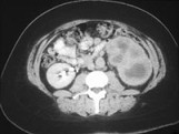
- 多项选择题女,35岁, 反复发作的尿路感染,请结合所示图像选择正确的说法 ( )

A、左侧肾脏体积明显增大,轮廓欠清楚
B、左侧肾皮质变薄,其内可见多个囊腔
C、增强后囊腔周边强化
D、考虑为左侧肾癌
E、考虑为左侧黄色肉芽肿性肾盂肾炎
关注下方微信公众号,搜题查看答案

热门试题
- 下列描述中哪项不是系统性红斑狼疮的典型临
- 关于近球小体的叙述,正确的是A、主要分布
- 需要与疟疾进行鉴别的疾病包括A、败血症B
- 影响尿液检查异常加重的因素包括A、上呼吸
- 肾病综合征急性肾衰竭时肾活检病理检查可表
- 患儿,女, 12岁。畏寒、发热伴咽痛1周
- 慢性肾衰竭氮质血症期患者的GFRA、减少
- 慢性肾功能衰竭的主要病理生理改变是A、水
- 肾小球增大导致足细胞结构改变包括A、足突
- 肾动脉狭窄常见的病因是A、纤维肌性发育不
- ( )作为一种全球发病率最高的原发性
- 常见顽固性高血压的原因有A、患者服药依从
- 男性,35岁,慢性肾炎8年,水肿、少尿1
- 慢性肾炎的基本临床表现为A、蛋白尿、血尿
- 下列属于糖尿病肾病特异性改变的是A、弥漫
- 尿路感染的检查,如果连续2次清洁中段尿细
- 关于细菌尿,下列哪项正确A、细菌尿可诊断
- 痛风性关节炎急性发作期应首选A、秋水仙碱
- 下述哪项不是慢性肾小球肾炎的特征A、慢性
- 肾病综合征常用如下利尿剂治疗,其中哪种利