试题详情
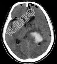
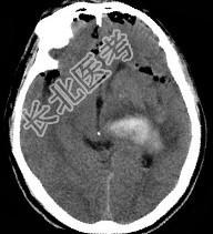
- 单项选择题男,32岁, 外伤后一天,CT检查如图, 下面何项诊断最恰当 ( )



A、脑出血
B、颅脑外伤
C、颅内积气
D、脑膜瘤
E、脑出血并颅内积气
关注下方微信公众号,搜题查看答案

热门试题
- 1、为纠正上述酸碱平衡紊乱,正确而简单的
- 与斜坡关系密切的脑池有哪些A、延髓前池B
- 起源于胚胎生殖细胞的颅内肿瘤包括A、绒毛
- 男,38岁。因头痛伴呕吐4个月收入院。体
- 进入海绵窦的静脉有A、侧裂静脉B、岩上窦
- 有关硬膜下血肿,以下哪项描述不恰当A、慢
- 外伤性颈内动脉海绵窦动静脉瘘的常见临床表
- 以下情况中,最易发生右侧小脑扁桃体疝的是
- (见图)所示,最可能诊断是 (
- 视神经管的长度为 ( )A、4.
- 下列哪项不符合结核性脊椎炎A、伴乏力、食
- 1、目前应采取的检查措施是2、提示:MR
- 白质前连合含 ( )A、轻触觉纤
- 1、该患者可能的诊断包括A、右侧颞顶骨线
- 脊髓外侧索内的纤维束有 ( )A
- 男,66岁, 车祸伤8小时,伤后持续昏迷
- 1、应考虑病人可能存在A、鞍区病变B、小
- 1、在门诊选择哪种检查有助于本病初步诊断
- 良性颅内压增高一般可见于 ( )
- 颅脑外伤后伴意识障碍加深,逐渐出现一侧瞳