试题详情
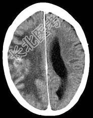
- 单项选择题有关脑转移瘤(如图所示),瘤周围水肿属于 ( )

A、脑缺血性水肿
B、脑积水性水肿
C、细胞性水肿
D、血管源性水肿
E、渗透性水肿
关注下方微信公众号,搜题查看答案

热门试题
- 脑叶出血中最常见的部位为 ( )
- 1、以下哪些检查有助于明确诊断A、肌电图
- 大脑半球连合系统包括A、穹窿连合B、后连
- 有关内侧丘系,以下哪些说法正确 (
- 女,30岁, 头外伤2小时,CT示右额颞
- 1、若诊断为听神经瘤,选择手术入路时应考
- 以下叙述脑积水手术治疗错误的是 (
- 1、其尿失禁为A、中度到重度尿失禁之间B
- 关于颈动脉内膜切除术,以下叙述不恰当的是
- 枕骨大孔疝最后会导致 ( )A、
- 1、应考虑病人可能存在A、鞍区病变B、小
- 急性脑血管病的病变部位,以下哪项表述是不
- 颅内压增高的发病机制为A、颅腔容积缩小B
- 1、进一步检查应做2、头颅MRI显示鞍内
- 颈静脉球瘤的临床表现是A、声音嘶哑B、耳
- 脑震荡的治疗措施包括A、神经营养药物B、
- 脑积水分流术后堵管并发症的原因包括 (
- 女,7岁。头痛、呕吐、走路不稳20天,
- 1、检查仅提示左枕线状骨折,入院对症治疗
- 男,37岁。突发意识障碍伴言语不能2小时