试题详情
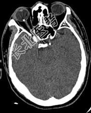
- [材料题] 患者男性,4岁,以“右眼外伤后视物不清8天”为主诉入院。眼部检查:右眼视力指数/0cm,左眼视力.0。右眼混合充血,角膜透明,KP(+),6点钟方位角膜缘可见2mm裂伤口,已闭合;前房中等深度,房水闪光(+);虹膜表面纹理清晰,无前后粘连,6点钟方位可见穿通孔;瞳孔圆,直径3mm;晶状体混浊;眼底无法窥视。左眼未见明显异常。眼眶X线检查结果见图155,CT检查结果见图156(平扫)和图157(三维成像)。
图155
图156
图157。
- 多项选择题1.问题:如何判断异物位于眼球壁上( )
A、直接观察眼底
B、后极部异物可以采用OCT扫描准确判断异物嵌入眼球壁的深度
C、眼球彩色超声
D、角膜缘环形标记X线定位法
E、眼眶CT平扫和矢状位扫描可以精确分辨金属性异物与眼球壁的关系
F、眼眶MRI较CT扫描对异物定位更为精确,能分辨异物与眼球壁各层的位置关系,可以作为初诊时的首选
关注下方微信公众号,搜题查看答案

- 多项选择题2.问题:该患者首选的治疗方案是( )
A、角膜原创口试吸
B、随访观察
C、经睫状体平坦部磁铁试吸
D、外伤性白内障摘除、人工晶状体植入联合玻璃体手术取出异物
E、在最接近异物处的巩膜做切口,取出异物并行冷冻治疗
F、球内注射万古霉素抗感染治疗
关注下方微信公众号,搜题查看答案

- 多项选择题3.问题:关于玻璃体手术取出眼球内异物的适应证, 正确的描述是( )
A、玻璃体手术可以在直视下精确地取出眼球内异物,适用于任何情况下的眼球内异物
B、角膜损伤重且干扰到眼后节的观察又无条件配备人工角膜时,不适合行玻璃体手术
C、外伤两周以上,眼内炎症反应控制良好时,是行玻璃体手术的最佳时机
D、越周边的异物越适合行玻璃体手术
E、伴眼内炎的异物可行玻璃体手术
F、伴视网膜裂孔和脱离的异物可行玻璃体手术
关注下方微信公众号,搜题查看答案

- 多项选择题4.问题:玻璃体手术取出眼球内异物需注意的问题是( )
A、根据术前定位,首先切除异物前方混浊的玻璃体和积血,暴露异物
B、仔细分离、游离异物周边的机化物和包裹物,再取出异物
C、磁性异物可以用磁铁或接力磁棒吸出
D、太大的异物需提早扩大切口,以免异物嵌顿和滑脱对视网膜、脉络膜造成更为严重的损害
E、巨大异物可以通过瞳孔区从前房取出,避免加重脉络膜、视网膜损害
F、基底部玻璃体不需要清除干净
G、玻璃体后皮质不需要清除干净
关注下方微信公众号,搜题查看答案

热门试题
- 平卧后下肢曲张静脉消失后,在腹股沟下方扎
- 骨折的临床愈合标准包括A、拆除外固定后,
- 胃肠内容物或致病菌进入腹腔后,下列机体的
- 患者,女性, 25岁。左膝外上方逐渐隆起
- 有关类风湿关节炎的论述,以下哪些是正确的
- 男性,30岁。十二指肠溃疡引起黑粪, 呕
- 与单纯性肠梗阻相比,绞窄性肠梗阻的特点包
- 颈动脉内膜剥脱术的指征包括A、6个月内1
- 创伤急救"五项技术"是指A、通气、止血、
- 1、根据题干信息,下列叙述正确的有A、如
- 先天性白内障术后,与成人最大的不同是A、
- 眼睑恶性上皮性肿瘤包括A、基底细胞癌B、
- 1、关于肱骨干骨折的说法下列哪项不正确A
- 患者,男性, 54岁。上颌窦X线拍片检查
- 男性,31岁, 主诉腰痛半年伴低热、盗汗
- 成人股骨干中段短斜骨折移位时,适宜的治疗
- 1、最可能的诊断是A、先天性内斜视B、麻
- 眶蜂窝织炎的可能诱因是A、泪囊炎B、眼睑
- 1、对该医师的正确医德评价应为( )A、
- 神经损伤后,关于影响神经功能恢复的因素,