试题详情
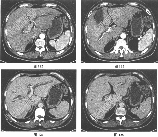
- [材料题] 患者男性,57岁,主诉"反复发热、右上腹痛2个月,巩膜皮肤黄染1周"入院。患者于2个月前无明显诱因突然出现发热、右上腹胀痛,当地医院就诊,给予抗炎对症治疗后缓解。之后发热、右上腹胀痛反复发作,外院行腹部CT检查示:"高位胆道梗阻,伴肝内胆管扩张"。1周前患者出现巩膜皮肤黄染。病来体重无明显变化,大便灰白,小便颜色加深。否认肝炎、结核病史。入院查CA19-9 1890U/ml,CEA2.56U/ml,AFP2.3ng/ml,CA12513.3U/ml,MRI和CT结果见图120~图125。

- 多项选择题1.该患者的临床诊断考虑为( )
A、肝门部胆管癌
B、右肝内胆管细胞性肝癌
C、胆管中下段癌
D、壶腹周围癌
E、肝内胆管囊状扩张症
F、胆总管结石伴嵌顿
关注下方微信公众号,搜题查看答案

- 多项选择题2.该患者的Bismuth-Corlette分型为( )
A、BismuthⅠ型
B、BismuthⅡ型
C、BismuthⅢa型
D、BismuthⅢb型
E、BismuthⅣ型
F、BismuthⅤ型
关注下方微信公众号,搜题查看答案

- 多项选择题3.该患者按"国际胆管癌协会分期系统"的分型是( )
A、T1,B3-R,PV3-R,HA0
B、T2,B3-R,PV0,HA0
C、T2,B2,PV0,HA3-R
D、T3,B3-R,PV3-R,HA3-R
E、T2,B3-L,PV2,HA0
F、T2,B2,PV2,HA3-R
关注下方微信公众号,搜题查看答案

- 多项选择题4.该患者合适的治疗手段是( )
A、外科手术切除
B、三维适形放疗
C、全身化疗
D、新辅助化疗
E、靶向药物治疗
F、局部放射性粒子植入治疗
G、肝移植术
关注下方微信公众号,搜题查看答案

- 多项选择题5.[提示] 该患者入院后化验结果:Hb103g/L, WBC7.47×109/L,N0.622, PLT332×109/L;PT12.9s, APTT35.1s,PTA99%, INR1.0,Fib6.72g/L; ALT74.2U/L,AST103.3U/L, Alb31.7g/L,TB114.3μmol/L, DB81.2μmol/L,ALP964.4U/L, GGT667.8U/L;乙肝、丙肝、HIV、梅毒检查均阴性。患者身高170cm, 体重69kg,标准肝体积=1302ml; 根据CT和MRI计算肝脏右半肝体积=810ml;左半肝体积=492ml。该患者的手术方式应选择( )
A、肝门部胆管切除
B、右半肝切除
C、尾叶切除
D、肝门、肝十二指肠韧带淋巴结清扫术
E、胆肠吻合术
F、左半肝切除
G、围肝门切除
关注下方微信公众号,搜题查看答案

- 多项选择题6.[提示] 患者术前无发热,ALT74.2U/L, AST103.3U/L,Alb31.7g/L, TB114.3μmol/L,DB81.2μmol/L, ALP964.4U/L,GGT667.8U/L。该患者术前应( )
A、超声引导下PTBD左肝管
B、超声引导下PTBD右前支胆管
C、超声引导下PTBD右后支胆管
D、ERCP下胆管支架置入
E、不作术前置管减黄
F、ENBD
G、ERBD
H、sPVE
关注下方微信公众号,搜题查看答案

- 多项选择题7.[提示] 术后病理报:肝门胆管中-低分化腺癌, 癌组织大小为3cm×1.5cm×1cm,侵及胆管壁全层, 并侵及肝组织。胆管切缘及胆囊颈和胆囊未见癌累及。肝门淋巴结见癌转移(1/1),免疫组化染色显示肿瘤细胞: CK19(+),Galectin-3(+)。该患者出院后的随访建议是( )
A、调强放疗
B、定期复查肝功能
C、定期复查CT或MRI
D、预防性TACE术
E、辅助全身化疗
F、预防性靶向药物治疗
关注下方微信公众号,搜题查看答案

热门试题
- 关于玻璃体后脱离,不正确的是A、单纯玻璃
- 下列有关视网膜中央静脉阻塞描述错误的是A
- 1、以下体征中哪一条与该诊断不相符合A、
- 1、(如图)最可能是下列哪种疾病 ( )
- 中度休克时,估计丢失的血容量占全身总血量
- 喉乳头状瘤的镜下特点是A、乳头呈单个或分
- 下列选项中,哪项不符合神经纤维瘤病(又称
- 共同性斜视与麻痹性斜视的鉴别要点是(
- 1、采用分段灌注模型是为了A、模型美观B
- 髌骨软骨软化症的治疗,下列错误的是A、加
- 1、患者最可能的病变部位是( )A、
- 以下不是鼻中隔偏曲临床表现的是A、单侧持
- 1、针对该患者应采用哪些措施A、颈围固定
- 患者男性,52岁, 因“右鼻腔突然出血,
- 腹主动脉瘤腔内修复适应证有A、瘤体上下两
- 不符合先天性睑裂狭窄综合征临床表现的是A
- 目前临床可用于治疗直肠脱垂的手术方式是A
- 关于牵引下列那-项是错误的A、骨牵引适用
- 1、(如图)最可能的诊断是 ( )
- Stargardt病表现为A、色素上皮层