试题详情
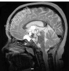
- 单项选择题关于颅咽管瘤(见图)以下哪项不正确 ( )

A、占原发性颅内肿瘤的2%~5%
B、多见于成年人
C、囊性变且包膜钙化多见
D、主要被分为成釉细胞型和鳞状乳头型
E、常发生在鞍上
关注下方微信公众号,搜题查看答案

热门试题
- 高血压性脑出血好发部位为A、小脑B、内囊
- 人体司味觉的脑神经为A、舌下神经和舌咽神
- 以下哪项体征不属于Horner征A、用力
- 自中脑背部发出的颅神经为A、舌咽神经B、
- 女性患者,18岁。枕部外伤2小时入院。X
- 腺垂体功能减退最早出现的临床表现为A、直
- 颅底肿瘤的手术原则有A、采用显微外科技术
- 动眼神经损伤无下列哪项表现A、眼球向下活
- 帕金森病的主要临床症状有A、共济失调B、
- 关于脊柱裂手术的表述正确的是A、所有小儿
- 脊髓内肿瘤的特点不包括A、晚期可产生肌肉
- 下列哪项是颅裂手术的最关键步骤A、颅骨缺
- 使用后最容易出现颅内压反跳的脱水剂是A、
- 脊髓病变所致的位置觉及运动觉缺失的病变部
- 女性,45岁。耳鸣2年, 右耳听力下降1
- 一青年工人右侧颞枕部被石块击伤后昏迷10
- 腰椎滑脱的程度超过2/4,但不超过3/4
- 下列哪些符合脑膜瘤(如图所示)表现
- 儿童鞍区最常见的肿瘤为A、生殖细胞瘤B、
- 指出以下颅内肿瘤与症状组合中的错误的是A