试题详情
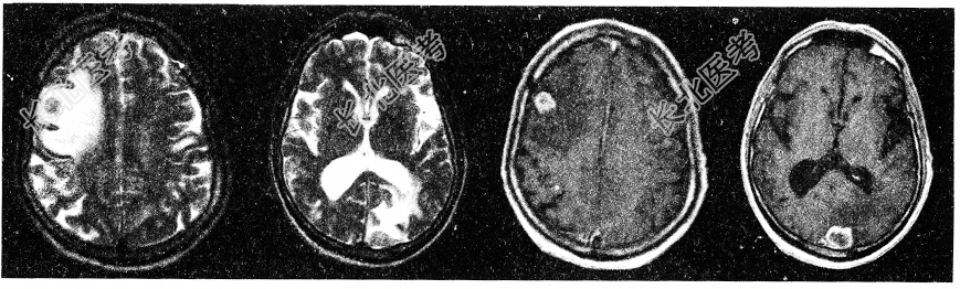
- 单项选择题男性患者,77岁。胃癌术后2年, 头痛1月,请结合影像图像选择最可能的诊断为

A、神经胶质瘤
B、脑脓肿
C、胃癌脑转移
D、脑膜炎
E、松果体瘤
关注下方微信公众号,搜题查看答案

热门试题
- 去大脑强直发作是因为A、小脑损害B、延髓
- 后颅凹占位病变的病人发生脑危象时,最快而
- 男孩,9岁。午餐时突发神志丧失, 手中持
- 有关脑血栓形成CT扫描,以下描述正确的是
- 关于星形细胞瘤的预后,表述正确的是A、星
- 右眼闭合不全,右侧鼻唇沟浅是哪个部位损害
- 临床表现为膈神经麻痹发生呼吸困难的病变部
- 急性期脑血栓形成患者用低分子右旋糖酐治疗
- 检查肌张力时,患者必须A、无肌肉萎缩B、
- 以下哪些是狭颅症的临床表现A、头颅畸形B
- 关于火器伤中静脉窦损伤清创术,叙述正确的
- 心源性脑栓塞3小时内最宜选用的药物治疗应
- 何项是诊断癫痫的首选辅助检查A、诱发电位
- 下列哪些不是腺垂体分泌的A、ACTHB、
- 女性患者,60岁。突发剧烈头痛、呕吐3小
- 随意运动障碍考虑有A、锥体束受累B、锥体
- 导致脑瘫的危险因素有A、新生儿高热B、新
- 热敏神经元分布最多的部位为A、脑干网状结
- 男性患者,43岁。心脏病20年, 房颤2
- 男性患者,40岁。病程4个月, 右侧肢体