试题详情
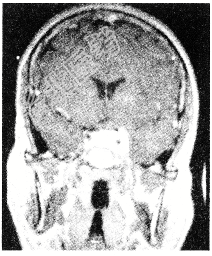
- 单项选择题有关脑膜瘤(如图所示),以下哪项说法不恰当

A、脑膜瘤多发源于软脑膜细胞
B、多数脑膜瘤为良性肿瘤,但有少数脑膜瘤在病程中发生恶性变
C、膜瘤发病率居颅内肿瘤的二位
D、多发生于旁矢状面和凸面
E、一般男女发病率之比约为1:2
关注下方微信公众号,搜题查看答案

热门试题
- 小脑星形细胞瘤位于囊内,颅脑CT或MRI
- 以下血管参与内囊供血的有A、脉络膜前动脉
- 关于帕金森病的三个主要体征,何项是正确的
- 1、首选的检查项目是 2、若双下肢麻木乏
- 男性患者,59岁。晨起轻微头痛、发现左侧
- 热敏神经元分布最多的部位为A、脑干网状结
- 小儿慢性硬脑膜下血肿发生率最高的年龄段是
- 颅脑损伤综合征患者不会出现的症状为A、恶
- 小脑幕切迹疝最典型的临床表现为A、意识清
- 帕金森病的基本病理特征包括A、黑质见大量
- 颈椎椎管狭窄症的临床表现主要包括A、排尿
- 以下神经外科手术方式损伤最小的是A、扣带
- 神经内镜可应用于A、脑内病变活检术B、脑
- 颅底骨折发生脑脊液耳漏的处理原则为A、给
- CT在四肢关节损伤与软组织病变中可考虑的
- 关于弥漫性轴索损伤中微小脑挫伤灶及早期脑
- 1、患儿首先考虑的诊断为2、目前患儿的治
- 颈膨大以上损伤的瘫痪表现为A、双下肢周围
- 目前对脑胶质瘤常用且诊断价值最大的检查手
- 男性,33岁。大便时突感头炸裂样痛, 伴