试题详情
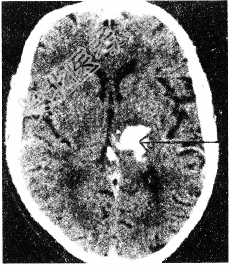
单项选择题患者,69岁。既往有高血压病史5年。因突发头痛, 右侧肢体无力1天入院。行头颅CT扫描如图所示,可诊断是   

A、左尾状核

B、左丘脑出血

C、右丘脑出血

D、左壳核出血

E、左颞叶出血

  • 关注下方微信公众号,搜题查看答案

热门试题