试题详情
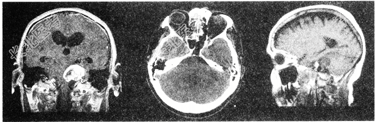
- 单项选择题有关听神经鞘瘤(如图所示)的发生,以下哪项描述不正确

A、听神经瘤起源于Schwann细胞
B、好发于中年人
C、大多数是单侧性
D、听神经瘤多来自耳蜗神经
E、多发生于听神经的内听道段或内耳孔区
关注下方微信公众号,搜题查看答案

热门试题
- 枕骨大孔疝最多见于哪个部位的肿瘤A、额叶
- 脊髓休克的临床表现应除外A、肢体痉挛性瘫
- 单纯闭合性颅盖线性骨折的治疗原则为A、仅
- 男性患者,50岁。2年来时有右口角抽搐发
- 根据运动障碍性疾病临床表现可以分为A、共
- 男性患者,52岁。高血压脑出血1天入院,
- 颅内血肿的常见类型是什么A、脑内血肿B、
- 女性,20岁。自幼发现左眼睑外侧肿块,
- 海绵窦解剖中著名的Parkinson三角
- 以下对薄束和楔束的叙述正确的是A、发自胸
- 1、诊断是A、开放性凹陷性颅骨骨折B、头
- 发生颅内肿瘤最多的部位为A、大脑半球B、
- 关于头皮裂伤,现场急救首选措施中不正确的
- 以下症状中不是低血钾临床表现的是A、尿量
- 临床上最常见的偏头痛类型应为A、偏瘫性偏
- 1、该患者目前最可能的癫痫类型是2、提示
- 颈内动脉海绵窦瘘行结扎颈内动脉应做好下列
- 对于动眼神经麻痹患者,疑动脉瘤所致, 最
- 高血压脑出血最常见的诱因是A、感染B、寒
- 以下关于转移瘤的MRI特点中不正确的是A