试题详情
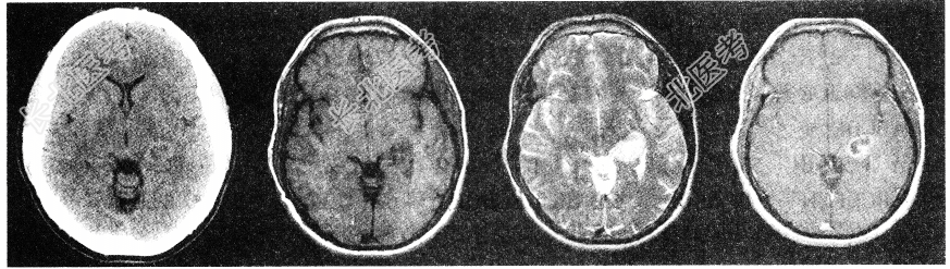
- 单项选择题男性患者,53岁。头晕, 偏盲,请结合影像图像选择最可能的诊断为

A、脑膜瘤
B、脑脓肿
C、多形性恶性胶质瘤
D、室管膜瘤
E、脑膜炎
关注下方微信公众号,搜题查看答案

热门试题
- Brown-Sequad综合征的主要临床
- 关于原发性中枢神经系统淋巴瘤的临床表现,
- 1、依据临床表现,病变定位为A、大脑中动
- 注射MPTP(1-甲基-4-苯基-1,2
- 颅内允许增加的临界容积通常约为A、10%
- 1、患者未有明显损伤临床表现的神经结构是
- 松果体区肿瘤中,发病率占第一位的是A、松
- 减速伤常造成A、冲击点伤和对冲伤同时出现
- 低钾血症最早的表现为A、恶心、呕吐B、肌
- 癫痫的临床发作表现分型,应除外A、癫痫持
- 男性患者,78岁。晨起四肢乏力。2小时前
- 目前国际上最常用的评定帕金森病外科治疗疗
- 脑震荡的治疗,通常不采取A、适当卧床休息
- MRI检查的绝对禁忌症有A、体内铁磁性异
- 颅脑损伤病人便秘可以用A、等渗盐水800
- 急性缺血性卒中的救治需要争分夺秒,指南要
- 1、最可能的诊断是2、应做的进一步检查,
- 以下对薄束和楔束的叙述正确的是A、发自胸
- 出现尿崩症一般是因为病变导致下丘脑的哪些
- 对于感染的开放性颅脑损伤所致的颅骨缺损,