试题详情
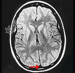
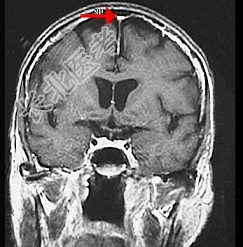
- 单项选择题如图箭头所示,应属于大脑的哪个部位 ( )

A、窦汇
B、横窦
C、直窦
D、上矢状窦
E、下失状窦
关注下方微信公众号,搜题查看答案

热门试题
- 关于进行性面偏侧萎缩症的头颅CT、MRI
- 对于MS具有重要诊断价值的辅助检查有A、
- 1、患者的癫痫发作形式最可能是2、根据发
- Arnold-Chiari畸形常伴有哪些
- 脑桥中央髓鞘溶解症的病理特征是A、脑干广
- 失眠的治疗中刺激控制疗法应除外A、日间可
- 患者,男, 75岁。以“左眼失明,右上肢
- 下列不是肌张力障碍的是A、扭转痉挛B、M
- 对于同心圆硬化的说法,不正确的是A、患者
- 癫痫的以下哪项表述是正确的:A、癫痫是一
- 关于假球麻痹,说法正确的是A、下运动神经
- 不是脊前动脉综合征的临床表现的是A、病损
- 抗癫痫药物剂量原则上:A、从大剂量开始B
- 线粒体脑肌病伴高乳酸血症和卒中样发作(M
- 有关癫痫的药物治疗剂量最理想的是A、根据
- 一急性脊髓炎患者发病4周后查体时针刺下肢
- 患者,男, 58岁。高血压病史10年,左
- 有关癫痫发作间期的药物治疗,下列哪一项是
- 对轻、中度抑郁发作治疗通常首选A、MAO
- 对于脑囊虫病,叙述错误的有( )A、对