试题详情
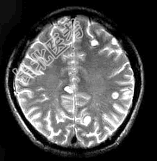
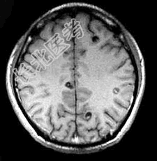
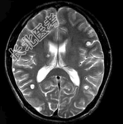
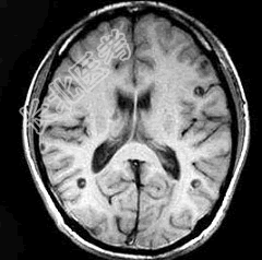
- 单项选择题患者,男, 29岁。头痛不适半个月。MRI扫描如图示。据此可作出下列最可能的诊断是 ( )




A、脑囊虫病
B、脑弓形虫病
C、脑结核
D、脑转移瘤
E、未见异常
关注下方微信公众号,搜题查看答案

热门试题
- 左侧视束损伤将会导致的是A、双眼右侧半视
- 1、入院后行如图所示的查体。此项检查称为
- 确定深昏迷最有价值的体征为A、所有反射消
- 肌营养不良的假性肥大其表现具有的特点是A
- 某患儿6个月,自出生后头围不断增大, 前
- 下运动神经元麻痹是由于病变损害了A、大脑
- Bell麻痹是茎乳孔内面神经非特异性炎症
- 一横贯性脊髓病变患者,在乳头平面以下出现
- 关于MG危象有误的是A、胆碱能危象是由于
- 关于交感神经系统,不正确的是A、心跳加快
- 肌电图检查无下列哪种功能A、可鉴别运动神
- 下列对基底型偏头痛描述错误的是A、视觉先
- 1、最初的处理,以下哪项不恰当A、血糖测
- 神经系统遗传病确诊的关键点在于A、症状B
- 吩噻嗪类药物急性中毒的治疗中,不正确的是
- 目前,神经干细胞移植可以用于治疗A、亨廷
- 头面部的痛、温觉的第一级神经元胞体位于下
- 对轻、中度抑郁发作治疗通常首选A、MAO
- 关于轮替动作,以下叙述哪项错误A、共济失
- 突触解剖结构由下列的哪几项组成A、突触前