试题详情
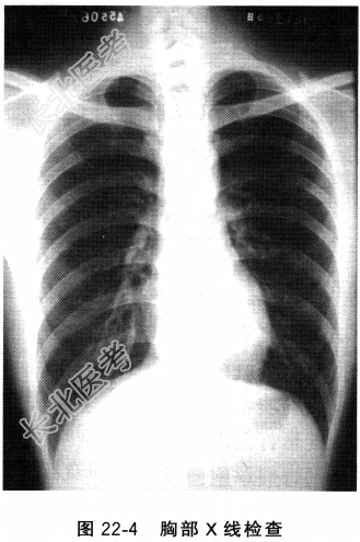
- [材料题] 患者,男性,63岁。因“反复咳嗽、咳痰4年,气喘6个月,加重1周”来诊。患者多于秋冬季发病,每年持续2~3个月,近6个月来发作时常伴呼吸困难。1周前受凉后出现畏寒、发热、咳脓痰,无尿少、双下肢水肿。既往有“气管炎”病史,吸烟史30年。查体:体温37.9℃,意识清,口唇无发绀,气管居中,桶状胸,双肺散在哮鸣音,肺底部有湿啰音。心率83次/分,心律齐,未及病理性杂音,腹软无殊,双下肢无水肿。血常规:红细胞4.8×1012/L,白细胞14×109/L,中性粒细胞0.86。血电解质及血气:血钠137mmol/L;血钾3.7mmol/L;血氯108mmol/L;二氧化碳分压41mmHg。空腹血糖5.2mmol/L。肝、肾功能:尿酸420μmol/L;BUN23mmol/L;血肌酐75vmol/L,谷丙转氨酶32U/1.,谷草转氨酶32U/L。肺功能测定:一秒钟用力呼气容积/用力肺活量为65%,FEV1%为63%,残气容积/肺总量为45%,支气管扩张试验(-)。胸部X线片(图22-4)。

- 多项选择题1.该患者最应该考虑的诊断是
A、支气管扩张
B、慢性阻塞性肺疾病
C、慢性支气管炎
D、支气管哮喘
E、肺炎
F、急性左侧心力衰竭
关注下方微信公众号,搜题查看答案

- 多项选择题2.该患者胸部X线片的主要特征为
A、肺容积增大
B、胸廓前后径长
C、肺野透亮度增高
D、横隔位置低平
E、外周肺纹理纤细、稀少
F、右下肺可见囊状支气管扩张
关注下方微信公众号,搜题查看答案

- 多项选择题3.该患者目前最主要的治疗措施是
A、使用抗生素治疗感染
B、给予解痉平喘药
C、给予止咳祛痰药
D、低浓度持续吸氧
E、应用利尿药消肿
F、考虑手术治疗
关注下方微信公众号,搜题查看答案

- 多项选择题4.患者就诊过程中需要转诊至上一级医院的情况有
A、胸闷、气促加重伴下肢水肿
B、出现新的心律失常
C、同时有糖尿病、高血压、脑梗死病史
D、伴有肾功能不全
E、治疗一周后效果不佳
F、出现明显精神症状
关注下方微信公众号,搜题查看答案

- 多项选择题5.经急性期抗生素及平喘治疗后患者病情缓解出院,请问稳定期可建议患者长期使用的药物是
A、抗生素
B、氟地卡松/沙美特罗
C、噻托溴铵
D、布地奈德/福莫特罗
E、布地奈德
F、沙美特罗
关注下方微信公众号,搜题查看答案

- 多项选择题6.患者COPD稳定期的治疗措施有
A、无须用药
B、接种流感疫苗
C、沙丁胺醇气雾剂
D、异丙托溴铵气雾剂
E、布地奈德
F、倍氯米松
G、长期口服糖皮质激素
H、长期口服抗生素
I、康复治疗
关注下方微信公众号,搜题查看答案

- 多项选择题7.如考虑给该患者应用噻托溴铵吸入剂,则需补充询问的病史有
A、高血压
B、糖尿病
C、前列腺增生
D、青光眼
E、窦性心动过速
F、骨质疏松
关注下方微信公众号,搜题查看答案

热门试题
- 慢性阻塞性肺疾患功能评定,日常生活活动能
- 某男,70岁, 初小文化程度,支气管哮喘
- 关于母乳喂养的新观点包括A、早开奶B、母
- 关于寻常型银屑病,以下哪项易出现同形反应
- 与缺铁性贫血无关的表现是A、舌炎与口角炎
- 关于直疝三角的构成,下列正确的是A、腹直
- 下列对水肿的描述,正确的是A、药物性水肿
- 主动脉夹层一旦明确诊断,应即刻采取下列哪
- 男,32岁,来自农村,发病5天,主要表现
- 尿毒症时,高血钾最有效的治疗方法是A、输
- 肺癌按组织细胞学分类,不正确的是A、鳞状
- 病毒性肝炎的临床类型不包括A、肝炎肝硬化
- 脑桥出血时,瞳孔变化特点A、均散大B、均
- 小儿腹泻出现代谢性酸中毒的表现可有A、呼
- 最常见的21-三体综合征的核型分析是A、
- 潜伏性感染是指A、病原体侵入人体后,只引
- 1、该患儿诊断为婴儿腹泻合并2、该患儿第
- 拟调查某地人群糖尿病的现患情况,可采用的
- 男,24岁,既往健康,2天前出现咳嗽,无
- 关于腰椎间盘突出症的临床特点不正确的是A