试题详情
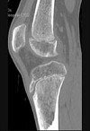
- 单项选择题男,46岁, 膝关节疼痛,结合图像, 最可能的诊断是 ( )


A、骨质硬化
B、骨质疏松
C、骨质软化
D、骨髓瘤
E、转移瘤
关注下方微信公众号,搜题查看答案

热门试题
- 下列哪项是监测碘营养水平的公认指标A、唾
- 女性,42岁。甲状腺部位疼痛, 并出现结
- 下列因素中,可引起肥胖症的有A、遗传因素
- 急性病毒性心肌炎早期不主张用激素的理由是
- 与T1DM发病有关的环境因素中,最重要的
- 患者男,30岁,因“烦渴、多饮、多尿2个
- DM的并发症有 ( )A、酮症酸
- 1、最可能的诊断是2、无须进一步做的检查
- 预防甲亢术后出现甲状腺危象最重要的措施是
- 下列关于浸润性突眼的特点,叙述正确的有(
- 高渗盐水对抗高血钾的作用机制是A、钠有抗
- 内分泌疾病定位诊断的方法包括( )。A、
- 1、患者首先应考虑的诊断为( )。A
- 下列关于妊娠糖尿病的叙述哪项不正确 (
- 关于肾上腺危象,叙述正确的有A、Addi
- 以下物质中,属于可溶性膳食纤维的有(
- 有助于确诊GHD的有A、身材矮小,生长速
- 抗甲状腺药物的优点有( )。A、疗效较肯
- 人体的必需氨基酸有( )。A、缬氨酸
- 下丘脑综合征患者出现意识改变、嗜睡、低温