试题详情
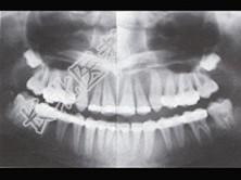
- 单项选择题患者,女, 40岁,因牙齿松动脱落、失眠、食欲不振1个月来院诊治。查体: 表情淡漠,牙槽骨处有压痛。骨骼X线摄片和123I放射性核素检查结果如图所示, 请问:该病例最可能的诊断为( )




A、骨质疏松
B、神经官能症
C、甲状旁腺功能亢进症
D、弥漫性脱钙
E、甲状旁腺减退症
关注下方微信公众号,搜题查看答案

热门试题
- 下列不符合Graves病诊断的是A、24
- 刺激胰岛素分泌,解决胰岛素不足问题的口服
- 1、最可能的诊断是2、患者血浆AVP增多
- 造成甲亢术后甲状腺危象最主要的原因是(
- 1、为建立初步诊断,应首选的检查是A、胸
- 有关胰岛素的使用,以下正确的是( )。A
- 一患者行甲状腺次全切除手术后出现声音嘶哑
- 腺垂体分泌的激素不包括( )。A、促甲状
- 1、考虑该患者乳房增生的原因可能为2、患
- 一28岁孕妇,原无糖尿病。其父有糖尿病,
- 不宜于使用胰岛素者为A、糖尿病合并肺结核
- MEN1胰岛B细胞瘤的临床表现有( )。
- 烟酸缺乏症的最典型症状是皮炎,常在肢体暴
- 预测Graves病停用抗甲状腺药物是否易
- 不宜使用药物减重的情况有( )。A、
- Cushing综合征患者,血浆ACTH明
- 1、最可能的诊断是2、确诊本病不须做的检
- 关于TSAb的意义,下列叙述不正确的是(
- 根据亚洲-太平洋地区2型糖尿病政策组提出
- 与白种人的情况相似,HLA-DQA-52