试题详情
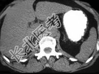
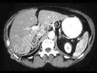
- 单项选择题女,35岁, 无意中发现血压高,实验室检查: 血和尿中醛固酮水平增高,请结合所提供图像, 作出诊断 ( )


A、右肾上腺增生
B、右肾上腺Cushing腺瘤
C、右肾上腺皮质腺瘤
D、右肾上腺转移瘤
E、右肾上腺囊肿
关注下方微信公众号,搜题查看答案

热门试题
- 嗅到花香味突然出现发作性咳嗽,离开即可减
- 糖尿病患者应用胰岛素治疗中,餐前尿糖定性
- 糖尿病的基础治疗不包括( )。A、胰腺移
- 患者,男性, 43岁。晨起胃痛,呕吐数次
- 与1型糖尿病发病无关的是A、胰岛素抵抗B
- 社区获得性肺炎中占第一位的革兰阴性杆菌是
- 1、最可能的诊断是2、下面哪项催乳素检查
- 糖尿病酮症伴轻度酸中毒的处理,应选择A、
- 疑诊Cushing综合征时,下列哪种检查
- 糖尿病的高血糖是由于 ( )A、
- RET基因可在染色体10q11-12第1
- 1、目前应该采取的措施( )2、
- 1、为明确诊断应立即选择的检查项目包括2
- 最早被发现且研究的最广泛的异位激素分泌综
- 患者,男性, 54岁。心悸、消瘦2年。体
- 在肺部听诊时呼吸音减弱并呼气延长可见于A
- 患者,男性, 56岁。因肠梗阻3天入院,
- Turner综合征患者可有以下哪些表现(
- 甲状腺摄131I率的高低有助于A、了解甲
- 结节病的典型病理改变为A、上皮样肉芽肿B