试题详情
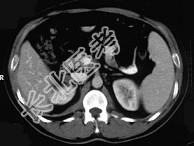
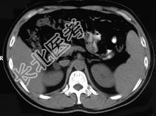
- 单项选择题女,23岁, 满月脸、向心性肥胖,CT扫描如图所示, 应诊断为 ( )


A、右侧肾上腺增生
B、右侧肾上腺腺瘤
C、右侧肾上腺腺癌
D、右侧肾上腺嗜铬细胞瘤
E、右侧肾上腺转移瘤
关注下方微信公众号,搜题查看答案

热门试题
- 治疗亚急性甲状腺炎伴有甲亢症状时使用的药
- 下列可引起原位溶血的是A、缺铁性贫血B、
- 甲亢患者甲状腺激素增多所致的临床表现不包
- 代谢性碱中毒合并呼吸性碱中毒的实验室检查
- 抗甲亢药物治疗一般疗程是A、症状缓解即可
- 引起假性高血钾的原因不包括( )。A、采
- 甲状腺髓样癌是在( )细胞中发现的。A、
- 甲减的替代治疗首选的药物是A、RAI治疗
- 性早熟的治疗目标不包括( )。A、改
- 慢性肾衰竭伴急重症高钾血症患者最佳的治疗
- 患者男,65岁,因“眼睑及双下肢水肿1个
- 女性,26岁, 1型糖尿病,采用强化胰岛
- 机体体液总量为A、0.2×体重(kg)B
- Schmidt综合征是指A、甲减伴心脏病
- 一位使用普通胰岛素治疗的糖尿病病人,午餐
- 1、患者入院后应常规行2、下肢血管彩超:
- 临床上可以导致高血压低血钾的疾病包括A、
- 甲状腺功能亢进症的药物治疗,下列错误的是
- 女,45岁, 1型糖尿病2年,3小时前注
- 磺脲类口服降糖药的不良反应有( )。