试题详情
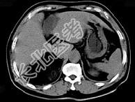
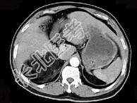
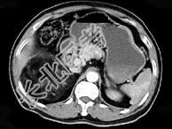
- 单项选择题男,59岁, 右侧腰背酸痛,CT检查如图所示, 应诊断为 ( )




A、右肾上腺腺瘤
B、右肾上腺转移瘤
C、右肾上腺髓样脂肪瘤
D、右腹膜后脂肪瘤
E、右肾血管平滑肌脂肪瘤
关注下方微信公众号,搜题查看答案

热门试题
- 有关生长激素肿瘤下列哪项不正确A、生长激
- 下列有关使用溴隐亭治疗PRL瘤的叙述中,
- MEN2B的临床表现一般不包括A、甲状腺
- 关于11-β-羟化酶缺乏症的生化指标,叙
- 降钙素的分泌部位是A、垂体B、下丘脑C、
- 1、如果怀疑此患者为尿崩症,在下列实验室
- 1、该患者受累的冠状动脉最可能是2、该患
- 下列可引起低钙血症的疾病有( )。A、甲
- 血胰岛素水平测定对评价胰岛B细胞功能和指
- 女性,50岁, 发现血糖高10年,血糖控
- 女性,50岁, 反复发作尿路结石,骨痛,
- 关于原发性甲旁亢的病因,下列叙述不正确的
- 提高1mmol/LCO
- MEN1最早和最常见的症状是( )。A、
- 甲亢危象的早期临床表现是( )。A、心动
- 呼吸性酸中毒合并代谢性碱中毒时血气结果包
- 由静脉输注高渗溶液易引起A、栓塞B、出血
- 当血清钙浓度超过多少时,甲旁亢患者容易出
- 在嗜铬细胞瘤的生化诊断中,敏感性及特异性
- 关于口服降糖药,下列正确的是 (