试题详情
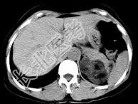
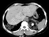
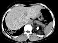
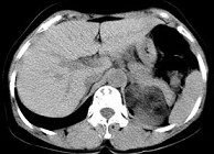
- 单项选择题男性,28岁, 左腰背酸胀5个月,CT检查如图所示, 应诊断为 ( )

A、左肾上腺髓样脂肪瘤
B、左肾上腺错构瘤
C、左肾上腺嗜铬细胞瘤
D、左肾上腺腺瘤
E、左肾上腺转移瘤
关注下方微信公众号,搜题查看答案

热门试题
- 胃泌素瘤患者消化性溃疡的特点包括A、可发
- PHEO代谢综合征的临床表现不包括( )
- 1、患者最可能的诊断为( )。A、单
- 以下物质中,属于单糖的有( )。A、
- 甲旁减的临床表现为( )。A、手足抽
- 对糖耐量减低(IGT)的叙述不正确的是(
- 糖尿病高渗性昏迷抢救措施是A、正确合理补
- 肠梗阻患者血清钾检测值为2.9mmol/
- 生长激素的生理作用包括( )。A、血糖的
- 患者,男性, 28岁。极度口渴、乏力、尿
- 胰高血糖素瘤的定性诊断检查包括A、血浆胰
- 1985年Holmes痛风诊断标准有(
- 高镁浓度抑制中枢及周围神经系统,高镁血症
- 1、该患者最可能诊断为2、该患者诊断为3
- 下列哪种疾病不会引起糖耐量异常 (
- 1、需要考虑的诊断是( )2、(
- 原发性醛固酮增多症的典型临床特征为A、高
- 1、为明确诊断应进行的检查项目包括2、患
- 1、如伴咳嗽、咯血,碳酸氢根35mmol
- 高钾血症对神经肌肉系统的影响主要表现为(