试题详情
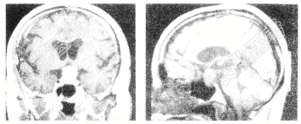
- 单项选择题患者,男性, 32岁。视物模糊,部分视野缺失, 伴有头痛、恶心2个月,MRI检查如下图。患者最可能诊断为( )。

A、蛛网膜囊肿
B、颅咽管瘤
C、表皮样囊肿
D、垂体瘤
E、脑膜瘤
关注下方微信公众号,搜题查看答案

热门试题
- 1、此患者的诊断A、术后尿崩症B、永久性
- 下列关于浸润性突眼的特点哪项不正确 (
- 有关T2DM的"节约基因型"错误的说法是
- 可以增强磺脲类药物降血糖效应的药物有
- 原发性醛固酮增多症的实验室特点是(
- 奥曲肽适合临床应用治疗肢端肥大症,其最严
- 1、为明确其是否患有妊娠期糖尿病,最准确
- 1、为明确诊断应进一步检查2、此患者最可
- 下列不符合腺垂体功能减退表现的是A、泌乳
- 1、以下错误的选项是2、应该进行的筛查是
- 关于原醛症患者的神经肌肉功能障碍表现,下
- 不属于MEN1的特征性组分的疾病是A、甲
- 下列哪些实验室检查结果符合Klinefe
- 下列哪种酶缺陷会导致肌肉病变(
- 复合感觉不包括A、皮肤定位觉B、两点辨别
- 以下物质中,属于单糖的有( )。A、
- 降钙素治疗骨质疏松症的适应证有( )。A
- 下列哪项不引起血清PRL升高 ( )A、
- 1、空腹高血糖最可能的原因是2、有助于明
- 下列哪一项是Graves病药物治疗痊愈的