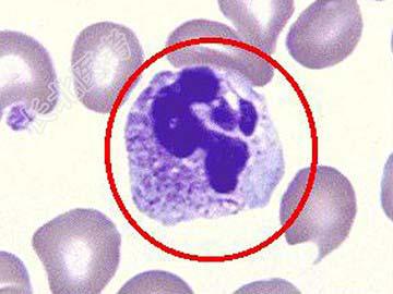
试题详情
- 单项选择题图所示细胞形态异常改变是 ( )

A、中毒颗粒
B、Peger-Huet畸形
C、空泡
D、Alder-Reillyl畸形
E、杜勒小体
关注下方微信公众号,搜题查看答案

热门试题
- 目前推荐尿沉渣定量检查常用的方法是 (
- 首次晨尿的特点是A、易受污染B、与随机尿
- 患者,男,40岁,有重金属接触史,常感腰
- 关于尿葡萄糖试带法测定,错误的是 (
- 以下不符合白细胞计数生理性变化的叙述是(
- 放射线损伤后,外周血淋巴细胞不会出现的是
- 免疫法尿血红蛋白测定的特点,除外A、灵敏
- 自身输血优点有 ( )A、可避免
- 结核性胸膜炎抗结核治疗时,作为疗效观察的
- 血液黏度与下列哪项有关( )A、血细
- 早熟角化细胞是指( )A、宫颈型外底
- 1、淋巴结细针穿刺的禁忌证为A、有明显出
- 关于血细胞比容的概念,错误的叙述是 (
- 尿沉渣中的吞噬细胞来自 ( )A
- 不能促使PLG变为PL的物质是 ( )A
- 加热后浑浊即可消失但无气泡,提示尿液中含
- 血小板破坏过多见于 ( )A、急
- 自身免疫性溶血性贫血患者输血首选 (
- 精液中白细胞<5个/HP,可见于A、前列
- 下列物质中非造血的成分是( )A、铁