试题详情
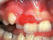
单项选择题组图是牙龈瘤患者,有关此病的描述不正确的是 ( )

A、生长较慢

B、肿块较局限

C、可能导致牙松动

D、为恶性病变

E、可破坏牙槽骨壁

  • 关注下方微信公众号,搜题查看答案

热门试题