试题详情
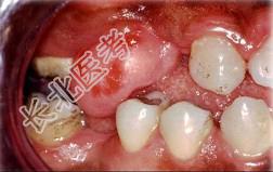
单项选择题组图为口内纤维瘤的外观,关于此病的描述不正确的是 ( )

A、主要由纤维组织构成

B、生长一般较缓慢

C、肿瘤边界清楚

D、手术后不易复发

E、有可能恶变

  • 关注下方微信公众号,搜题查看答案

热门试题