试题详情
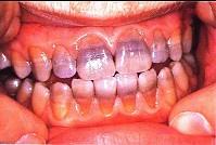
- 单项选择题关于四环素牙,下列哪—项错误 ( )

A、四环素可通过胎盘引起乳牙着色
B、四环素对牙的影响仅仅是着色,影响美观
C、通常前牙比后牙着色深
D、四环素在牙本质中的沉积比在釉质中高4倍
E、四环素牙的着色是永久的
关注下方微信公众号,搜题查看答案

热门试题
- 可复性牙髓炎主要的病理变化是A、血管扩张
- 下列各项关于继发性牙本质的描述,错误的是
- 关于位于放射治疗照射部位范围内的患牙,拔
- 以下哪个说法正确A、成骨细胞不参与破骨细
- 前牙的常规排列以下哪项不对 (
- 从一侧磨牙的颊尖、舌尖与对侧同名牙的舌尖
- 牙龈瘤的组织来源是A、牙龈上皮B、牙槽骨
- 金属烤瓷全冠的适应证不包括A、前牙四环素
- 某一青年患者的下颌第一双尖牙
- 下半口义齿起主要固位作用的部位是A、舌下
- 患者,下颌双侧磨牙全部缺失,末端基牙采用
- 患者,女, 44岁,右侧下颌第一磨牙、左
- 智齿冠周炎治疗时,应首先进行A、局部处理
- 病例对照研究的特点中正确的是A、研究准确
- BOP检查中,应使用的器械是A、牙体探针
- 下列关于尖牙的叙述,错误的是A、上颌尖牙
- 某患者,右下第二前磨牙缺失,要求可摘局部
- 最常引起化脓性蜂窝织炎的细菌是A、肺炎球
- 下列哪项不是复发性口腔溃疡的临床特点A、
- 在局麻时患者出现晕厥应做如下处理 (